Lompat ke konten Lompat ke sidebar Lompat ke footer

View Femur Bone Cancer Treatment US

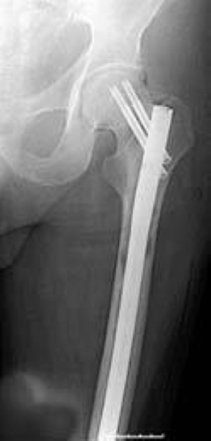
View Femur Bone Cancer Treatment US. Bone cancer develops in the skeletal system and destroys tissue. Bone cancer on the femur.

Rare Surgery Helps Young Patient With Osteosarcoma Remain Active Consult Qd
Rare Surgery Helps Young Patient With Osteosarcoma Remain Active Consult Qd from consultqd.clevelandclinic.org
External fixation is usually a temporary treatment for femur fractures. Bone cancer is a malignant (cancerous) tumor of the. One or more of the following therapies may be recommended to treat bone cancer is not highly sensitive to radiation, so radiation usually is not a treatment.

Explore the links on this page to learn about bone cancer treatment, statistics, research, and clinical trials.

Some types of bone cancer occur primarily in children, while others affect mostly adults. It is more common in children and young adults than older adults. Read about bone cancer prognosis, treatment, symptoms, signs, survival rate, types, metastatic, and stage 4. For most fractures of the femur, a bone plate and series of screws are used to stabilize the fracture.

Posting Komentar untuk "View Femur Bone Cancer Treatment US"